AI菜鸟飞-数字图像基础I
有人说,在数字时代,每个人都是一个数字。
确实如此,数字时代,所有信息需要编码为数字,由我们的算力--数字计算机去处理。所以,一切的基础是数字,和数学。到达这个基础之前,需要将信息编码为数字,也就是将信息转换为数字计算机可以理解的形式。不知道将来会不会有生物计算机,来颠覆以数字为基础的这一切,打住,现在开始学习。
说到AI,那图像领域是AI应用的一大领域,说到图像,那我们先从最基础的看一看,图像如何数字化表示。
首先,要分割,要分解,要各个击破,要一口一口的吃饭。废话有点多,就是将图片分割为一个一个的像素。
然后,图像不同,其每个像素包含的信息量并不一样,图像可分为黑白、灰度、彩色。
黑白:非黑即白,二值图像。这种图像是让人讨厌的,就像这个世界上,说你不是好人就是坏人,不是我的朋友就是我的敌人,这种是一种粗暴蛮横的态度。
灰度:也是黑白,没有彩色,但有过渡。就像我们看以前的黑白故事片,虽然是黑白,但有足够细腻的轮廓和层次,美女也是很动人的美女。

彩色:用三个分量(RGB)来混合表达出一个颜色

上面讲了图像数字化的基本概念,下面是灰度直方图。
灰度直方图是图像的一个重要特征,它的概念还是比较简单的,就是灰度级出现的频率(在所有灰度级中出现的次数比例)和灰度级的关系图。如果是彩色图像,则可以按3个颜色分量分别计算灰度直方图。


灰度直方图有什么用呢?
可以用于图像二值化的阈值的确定,确定阈值之后,可以将图像简化为二值图像,也就是黑白图像。小于等于这个阈值的灰度,转换为0,而大于这个阈值的灰度,转换为1.
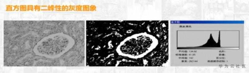
阈值怎么确定呢?如果直方图曲线有2个波峰,1个波谷的话,那个波谷所在的点对应的灰度值就是阈值。为什么这个点是阈值,原理是什么?没有说,我也不明白。看这这个波形图随便想象一下,如果是爬山的话,这个波谷,很像是一个垭口,垭口是一个比较特殊的位置点,一般上了垭口,你可以歇一口气,休息一会;垭口的风会很大;而且如果你翻过了垭口,你才能看到新的景象,而没到垭口之前,你是看不到的。
如果是彩色图像的化,这么简化却没有说,需要琢磨一下


上图就是将灰度图转换为黑白二值图的一个例子。
然后学习数字图像处理的算法,和数据结构的基础知识。
数字图像处理算法的形式有:
点处理。每个像素点自己就可以处理。
邻域、局部处理。每个像素点需要关联到自己前后左右的邻居点结合起来处理。

大局处理
迭代处理。反复运算,多次迭代的意思,直到达到处理目标。
跟踪处理
窗口处理、模板处理;前者是处理图像的矩形部分区域,后者可以处理图像的任意形状区域
串口处理、并行处理;显然并行处理的机制有效率上的优势

图像的数据结构,有以下几种方式:
组合方式,就是用一个字长存放多个像素的灰度值。这个很少用
比特面方式,就是相同的比特面用一个二维数组表示,形成比特面
分层结构,就是从原图开始,依次形成像素较少的系列图形。这个我感觉调整图片像素分辨率大小就是属于这种。
树结构,没明白,不写了
对于常见的彩色图像,要用到多重图像数据存储,存储方式有三:逐波动、逐行、逐像素
我们用的图片文件,应该是逐像素的方式把~
然后按照不同的方式存储或组织图像像素的灰度,就得到了我们经常说的图片格式。

RAW格式是连图像尺寸大小自己都不知道的,需要配合信息头来处理。
BMP格式,终于到了最熟悉的格式,但又不知道说什么,其实我对它并不熟悉,以为对它熟悉最终发现是一种错觉
BMP里面有一个调色板的概念,大致意思是说,当颜色色彩不那么丰富的时候,将每种颜色在调试板上标识出来(颜色枚举),每个像素表明自己是第几个颜色就可以了。
这样比较节省空间,可以用于2色-256色的图片。但对于颜色丰富(真彩色)的图片,就不用调色版了。

最后是TIFF,用于遥感,地理信息领域。
今天到这里。本文学习材料整理来自:MOOC-数字图像处理
- 点赞
- 收藏
- 关注作者
评论(0)