【华为云-上云之路】手把手教你利用ModelArts进行肺结节检测
本实验将介绍如何利用华为云一站式AI开发平台ModelArts使用预置算法Faster_RCNN_ResNet_v1_50基于肺结节病灶数据训练一个肺结节检测模型。并一键将训练得到的模型部署成在线服务,用户使用该在线服务对输入的医疗图片进行预测以达到自动识别上传医疗图片是否含有肺结节的目的。

1
1.1密钥准备
首先需要进入华为云官方网站
https://www.huaweicloud.cn/

点击页面的“控制台”切换至控制台界面,在账号名称的下拉菜单中点击“我的凭证”,进入创建管理访问密钥(AK/SK)的界面。位置如下图所示:


点击"立即创建",完成创建

1.4创建文件夹

在ModelArts管理控制台,进入“数据管理->数据集”页面,单击“服务授权”

由具备授权的账号“同意授权”后,即可正常使用:

1.6下载安装并登录OBS Browser+
由于OBS Browser快下线了,所以本次实验关于对象存储服务操作中我们用到的新工具是OBS Browser的升级版OBS Browser+
OBS Browser+是一款用于访问和管理对象存储服务(Object Storage Service,OBS)的图形化工具,支持完善的桶管理和对象管理操作。OBS Browser+的图形化界面可以非常方便地让用户在本地对OBS进行管理,例如:创建桶、上传下载文件、浏览文件等。
该工具在华为云主页“开发者->资源工具->开发工具”处

双击点进去后是下面的页面

在开发工具的业务工具处,根据自己电脑配置下载OBS Browser+:

此为下载完成打开后的OBS Browser+工具界面:

填入步骤1.1下载得到的Access Key Id和Secret Access Key密钥
即可登录刚刚在华为云云端创建的OBS桶:

此时可以借助OBS Browser+从云端创建的OBS桶中上传和下载文件:

2
2.1准备数据
关于医疗图像肺结节病灶数据的话,这里本文是利用官方肺结节检测数据集
LUng Nodule Analysis 2016(LUNA16)
进行处理后得到的,已经自己人为标注好了300张病灶数据,可以直接导入华为云ModelArts AI开发平台进行使用。

关于整个肺结节检测数据集的话,数据集文件的大小不大,有35M,共300张已标注好肺结节病灶的文件。
如果你对数据的数量不太满意,可以官网下载肺结节检测数据集LUng Nodule Analysis 2016(LUNA16),根据自己的实验数量需求进行数据标注。
下载链接如下:
http://academictorrents.com/collection/luna-lung-nodule-analysis-16---isbi-2016-challenge
在本地电脑平台,解压下载的
“data”压缩包。
例如,解压至本地“data”文件夹下

点击打开刚刚下载安装好的OBS Browser+工具进行对象存储服务:
进入步骤1创建好的OBS桶nodule-data文件夹中:

点击“上传”,选择刚才下载的本地美食分类数据集中的文件夹,点击“确定”即可完成上传。

利用OBS Browser+工具将数据上传至华为云云端的速度很快,在华为云云端很快就可以看见刚刚上传的本地电脑的肺结节数据集:

3
进入ModelArts管理控制台主页,单击左侧导航栏“数据管理”,再点击“数据集”


点击创建即可创建数据集:

4
4.数据标注
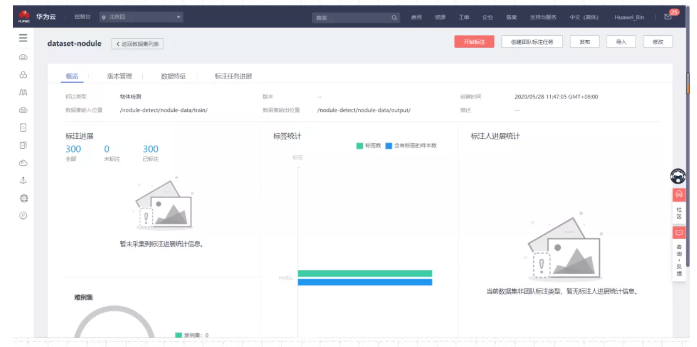
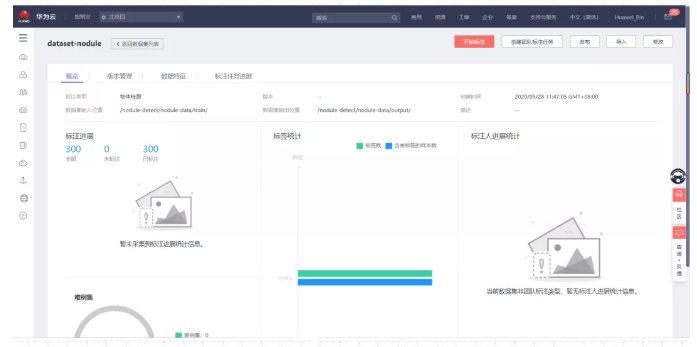
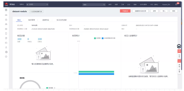
点击进刚刚创建好的数据集dataset-nodule:

此页面可以可视化的看见数据集中图片数量,标注和未标注的图片数量,以及标签统计。
此外在此处右上方还可选择创建团队标注任务,可以多人实时进行线上标注,大大提高了标注工作效率。

数据标注,针对图像分类项目,即在已有数据集图像中,标注出不同类别物体,并为其打上标签。标注好的数据用于模型训练。
此处的话,由于上传数据集之前已经对肺结节病灶数据进行了标注,此处对于数据标注的操作可以略过。
如果大家想学习如何使用华为云ModelArts进行数据标注,可查看下面过去的两篇推文文章,具体步骤已经在文章中写出:

5


经验不足的用户可以直接默认配置:

训练输出位置:选择OBS路径
/nodule-detect/nodule-data/output/
作业日志路径:选择OBS路径
/nodule-detect/nodule-data/log/
(output,log文件夹都是需要自己新建的文件夹)

资源池:公共资源池
类型:GPU
规格:[限时免费] GPU:1 * nvidia-v100-pcie-32gb 32GiB CPU:8 核 64GiB
计算节点:1

部署:公共资源池
计算节点规格:CPU:2 核 8 GiB。如果开通了GPU部署权限,可以尝试GPU部署。
计算节点个数:1。如果是多个计算节点,就是多实例部署,可以提高API的并发数。

填写好参数后,点击“下一步”按钮,确认参数无误:

然后点“提交”按钮

一键模型上线任务包含了三个子任务:
1.首先会在训练作业中创建一个训练作业,会训练得到一个模型
2.然后将训练所得模型导入到模型管理中
3.最后将模型在在线服务中部署为一个在线API服务

我所用的套餐一共使用了11分钟就将300张图片的肺结节病灶数据集训练成功了。
在“训练管理”处可以点击查看刚刚完成的训练作业:

点击作业名称可进入作业,查看作业详情:

“日志”页面展示了训练过程日志,可以看到模型在训练过程中打印的日志,比如模型精度、训练速度等,同时也可以下载日志文件到本地查看:
6
6.在线服务测试
在“部署上线”的“在线服务”处,点击运行中的在线服务右侧的“预测”

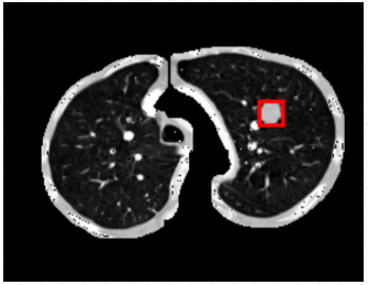
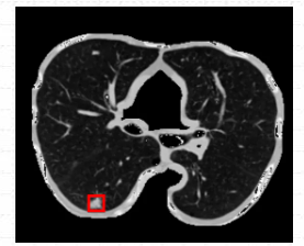
进入到测试界面,单击“上传”图片,进行检测:

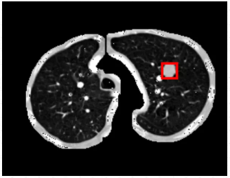
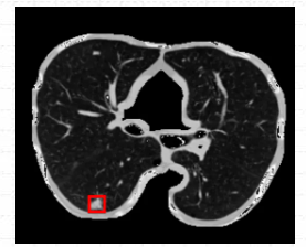
箭头指的地方可看见检测结果,可以说利用ModelArts平台训练出来的肺结节检测模型检测效果是很棒的。(直接看太小的话,可以点开图片放大看)


从最后实验的结果对比图来看,可以说利用ModelArts平台训练出来的肺结节检测模型检测效果是很棒的,虽然存在一定的肺结节病灶假阳性标记,但是这在小样本数据集的人工智能医疗检测中是会出现的情况。毕竟对于人工智能医疗检测模型来说,只用了300张标注图片就能达到这样的效果,真的让人感到惊喜。
下一步的实验规划是进行数据增广,以及网络参数和网络结构的调整。在ModelArts的Notebook开发环境中进行实验,将实验检测的准确度提高,让其真正的成为一个肺结节病灶检测利器。
至此实验全部完成。
如果看了这么多,您也想体验一下华为云AI的魅力,可点击下方活动链接,参加已于5月18日开始的
与华为云技术专家和全国华为云AI爱好者们一起领略华为云AI魅力,让你轻松Get AI技能,获取丰厚的奖品,一起升级打怪,变成最好的自己。
风里雨里,华为与我,在等你!
- 点赞
- 收藏
- 关注作者
评论(0)